آیا میدانید بسیاری از بیماریهای قلبی پیش از آنکه خود را با درد قفسه سینه، تنگی نفس یا تپشهای نامنظم نشان دهند، نشانههای اولیهشان را از طریق دهان بروز میدهند؟ دهان، آینهای بیواسطه از سلامت عمومی بدن است و تشخیص بیماری قلبی از علائم دهانی یکی از مهمترین دستاوردهای پزشکی مبتنی بر ارتباط بین سیستم قلبی–عروقی و سلامت دهان در سالهای اخیر است. دندانپزشکان در معاینات معمول، گاهی نخستین متخصصانی هستند که متوجه اختلالاتی میشوند که میتواند منشأ قلبی داشته باشد؛ موضوعی که در صورت شناسایی زودهنگام، جان بیمار را نجات میدهد.
ارتباط مستقیم دهان با سیستم قلب و نقش آن در بروز نخستین علائم بیماری قلبی
اگرچه بسیاری تصور میکنند تغییرات دهان صرفاً نشانه مشکلات دندانی است، اما بافتهای دهانی یکی از حساسترین نواحی در برابر تغییرات جریان خون، کاهش اکسیژن، التهاب سیستمیک و اختلالات انعقادی هستند. بنابراین حتی یک دندانپزشک عمومی نیز در ارزیابی معمول میتواند سرنخهایی از بیماریهای جدی قلبی پیدا کند. برای مثال تورم بیدلیل لثهها، خونریزیهای خودبهخود، زخمهای دهانی مکرر یا حتی تغییر رنگ مخاط دهان میتواند نشانهای از کمبود اکسیژن، کاهش پرفیوژن یا اختلالات التهابی مرتبط با قلب باشد. این همان نقطهای است که تشخیص بیماری قلبی از علائم دهانی آغاز میشود؛ یعنی جایی که علائم کوچک اما معنیدار، خبر از یک مشکل بزرگ میدهند.
چرا علائم دهانی میتوانند پیش از علائم جسمی ظاهر شوند؟
دهان بافتی پرخون و بسیار فعال است. کوچکترین تغییر در هموستاز خون، اکسیژنرسانی، فشار خون یا عملکرد رگها میتواند در مدت کوتاهی خود را در این بافت نشان دهد. به همین دلیل، علائمی همچون تغییر رنگ، التهابهای بیدلیل، کاهش توان ترمیم بافتی، خونریزی یا حتی خشکی مداوم دهان میتوانند هشداری زودهنگام باشند.
در بسیاری از بیماران، بیماریهای التهابی قلبی–عروقی موجب افزایش نشانگرهای التهابی در خون میشود. این التهاب سیستمیک روی بافت لثه اثر گذاشته و باعث ورم، تحلیل یا خونریزی میشود؛ در نهایت ممکن است دندانپزشک حتی زودتر از متخصص قلب احتمال مشکل قلبی را مطرح کند.
نشانههای مهم دهانی که میتوانند از وجود بیماری قلبی پرده بردارند
لثه و دهان، آیینه سلامت قلب هستند و میتوانند اولین هشدارها درباره مشکلات قلبی را ارائه دهند. تشخیص بیماری قلبی از علائم دهانی به مهارت دندانپزشک و آگاهی بیمار نیاز دارد و بررسی منظم دهان، ابزار قدرتمندی برای پیشگیری از عوارض جدی قلبی است:
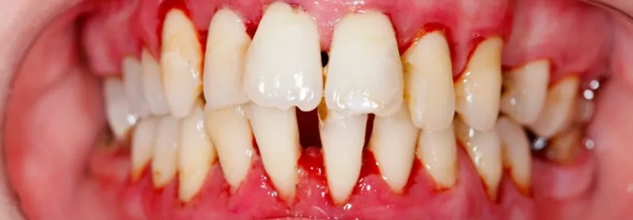
- خونریزیهای بیدلیل یا طولانیمدت لثه:
میتواند نشانه اختلالات انعقادی یا مصرف داروهای قلبی باشد. بیمارانی که مرتب دچار خونریزی خودبهخودی لثه میشوند، باید از نظر مشکلات قلبی–عروقی نیز بررسی شوند. - تورم، قرمزی یا التهاب شدید لثه:
التهاب مستقیم با بیماری قلبی در ارتباط است. سطح بالای التهاب، خطر بروز بیماریهای قلبی–عروقی را افزایش میدهد. - بوی بد دهان مداوم:
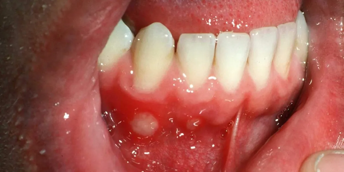
اگرچه علت اصلی آن معمولاً باکتریایی است، اما گاهی ممکن است به دلیل کاهش جریان بزاق یا اختلالات قلبی که باعث تغییرات متابولیکی در بدن میشوند، ایجاد شود. - زخمهای دهانی مکرر یا دیرترمیمشونده:
ترمیم کند زخمها یکی از اثرات کاهش اکسیژنرسانی است که در بیماران قلبی بهچشم میخورد. - کبودی یا رنگپریدگی لثه و مخاط دهان:
ممکن است ناشی از مشکلات خونرسانی قلبی باشد. این نشانه، یکی از مهمترین هشدارهایی است که نباید نادیده گرفته شود.
نقش حیاتی دندانپزشک در کشف زودهنگام مشکلات قلبی
دندانپزشک طی معاینات دورهای، زبان، لثه، مخاط، دندانها، جریان بزاق و الگوی خونریزی بافتها را بررسی میکند. این بررسیها در بسیاری موارد اطلاعاتی بهدست میدهد که مستقیماً به سلامت قلب مرتبط است. برای مثال:
- تشخیص التهاب مزمن: التهاب دهان یکی از قویترین شاخصهای التهاب سیستمیک است که ریسک بیماریهای قلبی را افزایش میدهد.
- ارزیابی کیفیت خونریزی بافتی: خونریزیهای شدید ممکن است ناشی از مصرف داروهای ضدانعقاد باشد.
- بررسی جریان بزاق: خشکی دهان در بیماران قلبی شایع است زیرا برخی داروهای قلبی باعث کاهش ترشح بزاق میشوند.
- شناسایی رنگ غیرطبیعی مخاط: تغییر رنگ میتواند نشاندهنده مشکلات قلبی یا تنفسی باشد.
گاهی حتی یک معاینه ساده و مشاهده تغییرات خاص در بافت دهان، به دندانپزشک این هشدار را میدهد که باید بیمار برای بررسی بیشتر به متخصص قلب ارجاع شود.
علائم دهانی مرتبط با بیماریهای قلبی
| علامت دهانی | احتمال ارتباط قلبی |
|---|---|
| خونریزیهای شدید یا خودبهخودی | اختلال انعقاد، مصرف داروهای قلبی |
| التهاب و تورم لثه | افزایش التهاب سیستمیک |
| دیرترمیمشدن زخمها | کاهش خونرسانی و اکسیژن |
| رنگپریدگی یا کبودی بافتها | مشکلات قلبی–عروقی |
| خشکی دهان | عوارض داروهای قلبی |
تأثیر داروهای قلبی بر دهان و اهمیت تشخیص صحیح
داروهای ضدانعقاد، بتابلاکرها، نیتراتها و داروهای کاهشدهنده فشار خون، اغلب باعث تغییراتی در دهان میشوند. برای مثال، مصرف داروهای ضدانعقاد میتواند حتی بدون وجود بیماری لثه، خونریزی ایجاد کند. بنابراین تشخیص دقیق علت علائم دهانی اهمیت ویژهای دارد؛ زیرا برخی علائم ناشی از داروی قلبی هستند و برخی دیگر خود نشانه بیماری قلبی به شمار میروند. دندان پزشکی بیماران قلبی در چنین شرایطی باید با حساسیت و آگاهی بیشتری انجام شود، زیرا هر غفلت کوچک میتواند منجر به خونریزی یا مشکلات جدیتر شود.
زنجیره التهابی بین بیماری لثه و بیماریهای قلبی
تحقیقات متعدد اثبات کردهاند که بیماری پریودنتال (بیماری لثه) نهتنها نشانهای از التهاب سیستمیک است، بلکه خود میتواند باعث افزایش ریسک بیماری قلبی شود. باکتریهای دهانی از طریق جریان خون وارد بدن میشوند و باعث التهاب عروقی، تنگی شریانها و حتی افزایش احتمال تشکیل لخته خون میگردند. این ارتباط دوطرفه، دندانپزشکان را به یکی از مهمترین اعضای تیم تشخیص زودهنگام بیماریهای قلبی تبدیل کرده است.
تفاوت علائم دهانی ناشی از داروهای قلبی با علائم ناشی از بیماری قلبی
| ویژگی | علائم ناشی از دارو | علائم ناشی از خود بیماری قلبی |
|---|---|---|
| زمان بروز | پس از شروع دارو | تدریجی و وابسته به روند بیماری |
| شدت خونریزی | معمولاً بیشتر | معمولی یا متوسط |
| الگوی زخمها | سطحی | دیرترمیمشونده |
| رنگ مخاط | نرمال یا کمی تغییر یافته | کبودی، رنگپریدگی یا تیرهگی |
| بهبود با تغییر دارو | بله | خیر |
نقش دندانپزشک در ارجاع بهموقع و پیشگیری از پیشرفت بیماری
اگر دندانپزشک بهموقع متوجه نشانههای دهانی مرتبط با بیماری قلبی شود، ارجاع بیمار به متخصص قلب میتواند از بروز حمله قلبی، آریتمی یا حتی نارسایی قلب جلوگیری کند. این ارجاع گاهی زندگی فرد را از یک بحران جدی نجات میدهد. در بسیاری از بیماران، این ارزیابی اولیه باعث تشخیص زودهنگامی میشود که سالها میتواند سلامتی بیمار را تضمین کند.
همچنین گاهی روشهای نوین و خلاقانهای در تشخیص زودهنگام مورد استفاده قرار میگیرد؛ برای مثال، تشخیص ابتلا به بیماری قلبی با یک دهانشویه ساده، که در تحقیقات جدید تأثیر آن بر شناسایی علائم اولیه قلبی بررسی شده است.
هماهنگی بین دندانپزشک و متخصص قلب؛ سنگ بنای سلامت بیماران قلبی
برای افرادی که سابقه بیماری قلبی دارند یا داروهای خاص مصرف میکنند، ارتباط سهجانبه بین بیمار، دندانپزشک و متخصص قلب ضروری است. دندانپزشک باید با آگاهی کامل از وضعیت قلبی بیمار، درمانهای دهانی را برنامهریزی کند، از خونریزی غیرقابل کنترل پیشگیری نماید و مراقبتهای خاص دوران درمان را رعایت کند.
در چنین شرایطی، ارتباط علمی و دقیق بین دو تخصص پزشکی، ضامن کاهش عوارض احتمالی و افزایش طول عمر و کیفیت زندگی بیمار خواهد بود.
جمعبندی پایانی؛ نقش حیاتی دندانپزشکان در نجات جان بیماران قلبی
تشخیص زودهنگام بیماریهای قلبی گاهی از جایی آغاز میشود که کمتر تصور میکنیم: دهان. دندانپزشکان با بررسی علائم ظریف اما مهم دهانی میتوانند نخستین هشداردهندگان درباره مشکلات قلبی باشند. این توانایی در کنار معاینات روتین، دقت علمی و تعامل با متخصصان قلب، نقش دندانپزشک را از درمانگر دهان فراتر برده و او را به یکی از عوامل کلیدی در حفظ سلامت قلب بیماران تبدیل کرده است. اگر تاکنون به اهمیت این موضوع توجه نمیکردید، اکنون میدانید که مراقبتهای دهانی میتواند نقشی حیاتی در پیشگیری از بیماریهای قلبی داشته باشد. در پایان، اگر به دنبال دندانپزشکی باتجربه در این حوزه هستید، دکتر مهدی علی بیگی در تهران یکی از گزینههایی است که میتواند به تشخیص و مدیریت بهتر وضعیت دهانی و قلبی بیماران کمک کند. شما چه تجربهای از ارتباط میان سلامت دهان و سلامت قلب داشتهاید؟
سوالات متداول
-
آیا امکان تشخیص بیماری قلبی از روی لثه وجود دارد؟
بله، برخی علائم مانند التهاب، خونریزی و تغییر رنگ لثه میتواند نشانه مشکلات قلبی باشد. -
آیا داروهای قلبی میتوانند باعث مشکلات دهانی شوند؟
بله، بعضی داروها خشکی دهان یا خونریزی لثه ایجاد میکنند. -
آیا دندانپزشک میتواند بیمار را به متخصص قلب ارجاع دهد؟
بله، وقتی علائم دهانی مشکوک به ریشه قلبی باشند، ارجاع لازم است. -
خشکی دهان میتواند نشانه بیماری قلبی باشد؟
گاهی بله؛ اما معمولاً به دلیل مصرف داروهای قلبی است.


