مراقبت های پس از روکش دندان برای بیماران قلبی
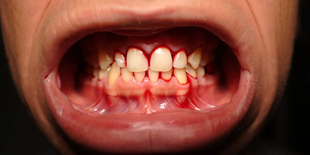
مراقبت های پس از روکش دندان برای بیماران قلبی موضوعی فراتر از یک توصیه ساده دندانپزشکی است و مستقیماً با حفظ سلامت عمومی، پیشگیری از عفونت و کنترل شرایط قلبی ارتباط دارد. بیماران قلبی به دلیل مصرف داروهای خاص، حساسیت بیشتر به عفونتها و احتمال بروز عوارض سیستمیک، باید پس…











